HU
HU

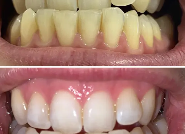
Renta Bright Smile- Fogfehérítés Akció!!

Renta Bright Smile- Fogfehérítés Akció!!
Renta Bright Smile- Fogfehérítés Akció!!
Renta Bright Smile- Fogfehérítés Akció!!
Renta Bright Smile- Fogfehérítés Akció!! Renta Bright Smile- Fogfehérítés Akció!! Renta Bright Smile- Fogfehérítés Akció!!
49 999 (−21%) 39 999 Ft / szolgáltatás -tól

Renta Bright Smile- Fogfehérítés Akció!!

49 999 −21% 39 999 Ft-tól / szolgáltatás
Kérdezd meg a hirdetőt!
0 vélemény
Jogi személy
R
Regisztrálva 2025. október -óta.
Cím 2100 Gödöllő Szabadka utca 8/a fszt.2
Ellenőriztük a vállalkozás adatinak hitelességét.
Az eladó profilját telefonszám alapján igazolták.
Nincsenek panaszok az eladóval szemben.
Sok eladás

Hol nyújtja a szolgáltatást?:

Rendelőben

Tapasztalat:

8-10 év

Hétvégén is rendel?:

Nem

Leírás

Fogfehérítésről minden amit tudni érdemes!

Kinek ajánlott (és kinek nem) a fogfehérítés? Sokan vágynak világosabb, ragyogóbb mosolyra – de fontos tudni, hogy a fogfehérítés nem mindenkinél alkalmazható egyből. Lássuk, mit érdemes tudnod róla! 👇KINEK AJÁNLOTT A FOGFEHÉRÍTÉS? 🔹 Egészséges fogíny és szájüreg esetén – Nincs aktív ínygyulladás, fogágybetegség, szuvas fog – A fehérítő anyag csak egészséges szöveteken használható biztonságosan 🔹 Természetes fogak esetén – A fogfehérítés csak a saját, élő foganyagon hatásos – a tömések, koronák, héjak nem fehérednek! 🔹 Aki nem vár csodát, csak szép eredményt – A fogfehérítés nem jelent hófehér hollywoodi mosolyt mindenkinek ,de elérhető 1–2 árnyalat világosodás is látványos lehet! Minden csak az alap fog színen múlik illetve attól mennyit bír a páciens komfortosan elviselni. 🔹 18 év feletti pácienseknek – A fiatalabb fogak zománca még fejlődésben van, ezért csak felnőtteknek ajánlott! 🔹 Akik korábban fogkőeltávolításon és tisztításon átestek – A fehérítő anyag akkor hatékony, ha a fogfelszín tisztított, sima és lepedékmentes ❌ KINEK NEM AJÁNLOTT A FOGFEHÉRÍTÉS? 🔸 Szuvas fogak, gyulladt íny esetén – A fehérítő anyag irritálhat, bejuthat a sérült részekhez, komoly érzékenységet okozhat! 🔸 Fognyaki kopás, érzékeny fogak esetén – A fogfehérítés tovább fokozhatja a hideg-meleg érzékenységet – előbb kezelni kell Bizonyos fogzománc hibáknál sem ajánlott 🔸 Tömések, koronák, héjak esetén a front fogaknál – A fehérítés nem fogja kifehéríteni ezeket az anyagokat – egyenetlen lesz a végeredmény ➡️ Ilyen esetben előbb konzultáljunk, és lehet, hogy csak fehérítés után érdemes új pótlásokat készíteni 🔸 Várandósság és szoptatás alatt – Nem bizonyított a veszély, de nem javasolt ebben az időszakban – óvatosságból halasszuk 🔸 Dohányzás mellett aktívan – A nikotin gyorsan visszaszínezi a fogakat – a hatás rövidebb ideig tart, kevésbé lesz látványos ⚖️ FOGFEHÉRÍTÉS – PRO & KONTRA ✔️ Előnyök Szebb, világosabb mosoly Fokozza az önbizalmat Gyors, látványos eredmény akár azonnal kezelést követően Biztonságos, mert hozzáértő szakember segít benne. ⚠️ Hátrányok Átmeneti érzékenység előfordulhat. De ezen tudunk segíteni, hogy elviselhető legyen ha előfordul Sajnos nem hat a pótlásokra. Idővel ismételni érdemes ha újra azt a szint szeretnénk elérni (pl.: peroxid mentes fehérítő esetében sűrűbben kell ismételni 2-3 havonta ) Előkészületeket igényel (pl. fogkőeltávolítás) Ha szükséges tömés készítés (fogorvos által ) 💬 Zárógondolat – tanács „A fogfehérítés nem csodaszer, hanem egy jól megtervezett folyamat része. Csak akkor lesz szép és tartós eredmény, ha előtte minden mást is rendbe teszünk.” 📅 Ha érdekel a fogfehérítés, kérj időpontot egy állapotfelmérésre, ahol megnézem, számodra biztonságosan elvégezhető-e! #Fogfehérítés #RagyogóMosoly #EgészségesMosoly #Dentálhigiénia #Fogápolás #FogfehérítésElőtt #ProKontra #SzakmaiTanács

A szolgáltatásnyújtás fő címe

2100 Gödöllő ,Szabadka utca 8/A fszt.2
Amit nagyon fontos tudni, fogfehérítés előtt mindenképp jó ha van "Friss" röntgen felvétel, vagy ha 3 hónapnál nem régebben járt fogorvosi rendelésen , mivel a rejtett szuvasodás kizáró ok a fehérítésnél.

Hatékony kommunikáció

Tegyél fel kérdést, ha szeretnéd pontosítani az információt!
!

Üzenet elküldése a hirdetőnek

Az üzenetedről a szerző értesítést kap
#ID503372 2025 November 27 12:55 - kor 13 megtekintés (+2 látogató ma)

Hasonló hirdetések

Ragyogó mosoly: LED-lámpás peroxidmentes fogfehérítés

Ragyogó mosoly: LED-lámpás peroxidmentes fogfehérítés

20 000 45 000 −56% Ft
15 Apr
Hófehér mosoly – LED lámpás peroxidmentes fogfehérítés a Petődi Dent fogászati klinikán

Hófehér mosoly – LED lámpás peroxidmentes fogfehérítés a Petődi Dent fogászati klinikán

45 000 Ft
22 May
Peroxidmentes, LED-lámpás fogfehérítés és fogkő-eltávolítás

Peroxidmentes, LED-lámpás fogfehérítés és fogkő-eltávolítás

21 990 Ft
22 Apr
Mutass többet
49 999 −21% 39 999 Ft-tól / szolgáltatás
Kérdezd meg a hirdetőt!
0 vélemény
Jogi személy
R
Regisztrálva 2025. október -óta.
Cím 2100 Gödöllő Szabadka utca 8/a fszt.2
Ellenőriztük a vállalkozás adatinak hitelességét.
Az eladó profilját telefonszám alapján igazolták.
Nincsenek panaszok az eladóval szemben.
Sok eladás

Kérdezd meg a hirdetőt!